带状疱疹是老年人常见的传染性疾病,水痘-带状疱疹病毒,顾名思义,会引起2种疾病。儿童初次感染会引起水痘,水痘恢复后病毒潜伏在人体内,随着年龄增加,免疫力下降,会再次激活发展为带状疱疹。
这种病毒感染率高达90%以上,约三分之一的人可能会再激活爆发带状疱疹。而老年人、免疫力低下、有基础疾病者又是带状疱疹的高发人群。

水痘-带状疱疹病毒可以在身体中任何部位的神经节中复制,可以出现在头部、脸部、胸部、手臂和腿部等,因腰部、胸部是带状疱疹最常见发病部位,所以它还有个广为熟知的名字——“蛇缠腰”、“缠腰龙”等。
眼带状疱疹、耳带状疱疹如果受病毒影响的情况进一步恶化,还可能导致视力、听力受损、面瘫等问题,严重影响老年人的生活。
目前疼痛界公认的人类三大顶级疼痛包括:三叉神经痛、带状疱疹后神经痛、癌痛。带状疱疹引起的长期疼痛会严重干扰患者的日常生活,可能会出现睡眠障碍、焦虑、抑郁等情况,用痛不欲生来形容一点也不夸张。据《带状疱疹后神经痛诊疗中国专家共识》显示:后神经痛是带状疱疹最常见的并发症,约30%~50%的患者疼痛持续超过1年,部分病程可达10年或更长。
关于带状疱疹疫苗
您关心的问题,答案都在这里↓↓↓
一、什么是带状疱疹?
带状疱疹是一种常见的疾病,俗称“生蛇、缠腰龙、蛇缠腰”,是由长期潜伏在脊髓后根神经节或颅神经节内的带状疱疹病毒经再激活引起的感染性皮肤病,好发于50岁以上的人群,除了皮肤损害外,常伴有神经病理性疼痛,此种疼痛往往比分娩痛更剧烈。

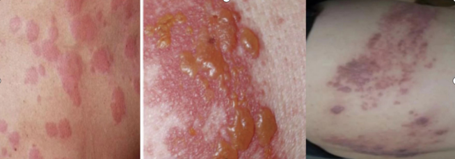
红斑期→水疱期→结痂期
【真实病例】
二、得过带状疱疹是否有必要接种带状疱疹疫苗?
有必要。有相关研究发现,50岁及以上人群10年后带状疱疹复发率为10.26%。对于50岁及以上的人,免疫力相对较低,就算既往得过带状疱疹,为了尽可能地避免复发,也是有必要接种带状疱疹疫苗的。
三、带状疱疹疫苗适合哪些人群接种?
目前国内上市的进口重组带状疱疹疫苗接种对象为50岁及以上人群。带状疱疹及罹患带状疱疹后遗留神经痛的发病率随着年龄的增长而逐渐升高,50岁以上人群因为细胞免疫功能逐渐下降,其发病水平上升更为显著。接种疫苗是预防带状疱疹最有效的措施。
四、有基础疾病的老年人,可以接种带状疱疹疫苗吗?
可以接种,而且他们更需要接种!
患有基础疾病(如呼吸系统疾病、各种肾脏疾病等)的人群患带状疱疹的风险高于普通人群。糖尿病患者罹患带状疱疹,皮疹较难愈合,病程时间长。高血压患者罹患带状疱疹可能引起患者血压上升,增加发生心脑血管事件的风险。
扫一扫在手机上查看当前页面